MonaLisa Touch® Laser Therapy in Park City, IL

Why Choose MonaLisa Touch®?

Many women come to our center expressing concerns about uncomfortable symptoms like vaginal dryness, itching, burning during intimacy, or mild urinary changes, seeking to understand the reasons behind these issues.

Why does this happen?

MonaLisa Touch® gets results

Because of Decreased estrogen levels, particularly during and following menopause, are the primary cause. Such changes can profoundly affect one’s confidence, comfort, and overall quality of life.

MonaLisa Touch® offers a safe, effective option that:

  • No need for surgical procedures or anesthesia 
  • Hormone-free option, ideal for women who are unable to use estrogen therapy
  • Offers minimal downtime, allowing for a swift return to your regular activities
  • Helps stimulate the body’s own collagen and elastin production for enduring enhancement

What conditions can it treat?

MonaLisa Touch® laser therapy effectively addresses symptoms often linked to Genitourinary Syndrome of Menopause (GSM), including vaginal tissue thinning and changes following childbirth.

It can help with:

  • Vaginal dryness and irritation
  • Discomfort during intimate relations 
  • Decreased vaginal elasticity 
  • Mild stress urinary incontinence is noted. 
  • Experiencing a burning or itching sensation
  • Insufficient lubrication and associated discomfort

How this Treatment Works?

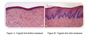
In this treatment process, our experts use fractional CO₂ laser energy delivered through a gentle, side-firing probe inserted into the vaginal canal area. The laser delivers tiny controlled energy pulses that:

  • Increase the production of collagen and elastin
  • Improve blood circulation
  • Restore healthy tissue architecture
  • Boost moisture levels and elasticity

The end result is revitalized vaginal wellness, increased comfort, and heightened sensation—frequently evident following the initial session.

What to expect during your Appointment at our Park City IL?

  • Quick & Comfortable: Each session typically lasts around 5–10 minutes.
  • Minimal Discomfort: Most of patients experience only a slight warmth or a soft sensation.
  • No Anesthesia Required: As MonaLisa Touch® is a non-surgical procedure, there is no need for anesthesia.
  • Resuming Daily Activities: You may return to your usual routines right away—with just a brief period of post-care considerations.

Standard treatment protocols typically involve 2 to 3 sessions, scheduled approximately 4 to 6 weeks apart, with the possibility of annual maintenance treatments to preserve the outcomes.

Advantages Usually Seen by Women

  • Patients who experience the MonaLisa Touch® often share that they notice an enhancement in natural lubrication.
  • Decreased discomfort during intimate activities 
  • Improved tissue elasticity and sensitivity 
  • Reduced itching, burning, and irritation 
  • Alleviation of mild urinary symptoms

These enhancements frequently lead to increased self-assurance and a heightened sense of overall wellness.

Is MonaLisa Touch® Right for You?

Our specialists at Park City Centre recommend that if you are facing any discomfort or alterations in your intimate health related to menopause, hormonal fluctuations, childbirth, or the aging process, MonaLisa Touch® could be a gentle and appropriate treatment choice.

This therapy is especially helpful if:

  • A non-hormonal solution is the one you prefer.
  • It’s important to steer clear of surgical procedures or recovery periods.
  • Topical creams and remedies have failed to deliver enduring relief.

An expert consultation will help determine if this treatment is suitable for your specific needs. For an appointment, call us at (+1) 833-696-9698.

Frequently asked question

MonaLisa Touch® is a noninvasive CO₂ laser treatment aimed at enhancing vaginal tissue health through the stimulation of natural collagen regeneration. This approach alleviates dryness, irritation, and discomfort — all without the need for surgery or hormones.

This treatment is ideal for women experiencing intimate discomfort due to:

  • Menopause or perimenopause 
    • Changes following childbirth 
    • Hormonal imbalance 
    • Aging 
    • Estrogen reduction related for breast cancer treatment

Women seeking a non-hormonal, non-surgical option may especially benefit.

Patients often notice relief from:

  • Vaginal dryness
  • Burning or itching
  • Painful intercourse
  • Reduced elasticity
  • Mild urinary leakage or urgency
  • Recurrent irritation

Most women benefit from a series of 2–3 treatments spaced 4–6 weeks apart.
Maintenance sessions may be recommended once a year to maintain results.

The treatment is generally very well-tolerated. Some patients describe a warm or tingling sensation, but discomfort is usually minimal.

The procedure typically takes about 5–10 minutes. You can go home right after the session.

There is no major downtime. You can resume daily activities the same day, with a few short-term restrictions for healing.

No. Because the treatment is non-surgical, anesthesia is not needed.

Many women experience improvement even after the first session, with continued enhancement over the next few weeks.

Results are long-lasting, but the natural aging process continues — which is why many women choose an annual maintenance session.

Yes. MonaLisa Touch® is a clinically studied and medically administered treatment designed with patient safety and comfort in mind.

Yes, this represents a significant benefit of the MonaLisa Touch® treatment. This option is free from hormones and is appropriate for numerous women who seek or need alternatives that do not involve hormonal treatments.

No. This procedure is non-surgical and does not require any incisions or sutures. Rather, it promotes the natural health of vaginal tissue by utilizing laser technology to stimulate collagen renewal.

Many women who are treated at our Lake Forest center report improved comfort and sensation during intimacy, which can enhance sexual well-being and confidence.

Visit for MonaLisa Touch® laser treatment in Park City, IL

Regain your intimate well-being, energy, and overall life satisfaction. MonaLisa Touch® laser treatment provides a contemporary, secure, and efficient option for women looking to alleviate the distressing impacts of vaginal tissue alterations.

Contact us today at (+1) 833-696-9698 to schedule your consultation with our experienced specialist and discuss how MonaLisa Touch® at SKNSculpt can help you restore your comfort and confidence.